Before & After Photos

Building Smiles

State of the Art Technology

People choose cosmetic dental procedures for various reasons – to repair a defect such as a malformed bite or crooked teeth, treat an injury, or just improve their overall appearance. For these and many other reasons, cosmetic dentistry has become a vital and important part of the dental profession and one of the fastest growing areas of dentistry. For example, tooth-whitening procedures have tripled over the past five years.

Common cosmetic dental procedures can be performed to correct misshaped, discolored, chipped or missing teeth. It also can be used to change the overall shape of teeth – from teeth that are too long or short, have gaps, or simply need to be reshaped.

Here at Esthetic Enhancement, our cosmetic dentists will first find the solution that’s right for your smile, and then work with you to ensure that once the procedure is done, your smile looks as good as it can, for as long as it can.

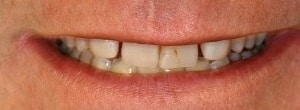
  • Before-Transformation
    After-Transformation
    Before Transformation After
  • Before-Transformation
    After-Transformation
    Before Transformation After
  • Before-Transformation
    After-Transformation
    Before Transformation After
  • Before-Transformation
    After-Transformation
    Before Transformation After
  • Before-Transformation
    After-Transformation
    Before Transformation After
  • Before-Transformation
    After-Transformation
    Before Transformation After
  • Before-Transformation
    After-Transformation
    Before Transformation After
  • Before-Transformation
    After-Transformation
    Before Transformation After
  • Before-Transformation
    After-Transformation
    Before Transformation After
  • Before-Transformation
    After-Transformation
    Before Transformation After
  • Before-Transformation
    After-Transformation
    Before Transformation After
  • Before-Transformation
    After-Transformation
    Before Transformation After
interjp singtoto singtoto
Scroll to Top
Chris Diggins
Chris Diggins

Left Us a 5-Star Review!

google

Professional and quality work. Great choice if you are looking for a dentist.

google

As always, I am in good hands with Dr. Marengo and his team. I really appreciate his care, his concern, his expertise, his gentleness, his precision, and his communication throughout any procedure. Highly recommend him to anyone!

google

I have been coming to Dr. Marengo since 2013. The staff is always amazing and makes you feel so comfortable sitting in a chair that otherwise makes a person nervous. Jamie is the best dental hygienist I have ever had. She truly cares about you and your discomforts, and aims to make sure you don't hate coming to the dentist.

google

Excellent care. Excellent service. Can't wait till next time!

google

Great facility! Wonderful staff that are kind and gentle and provide excellent service. Wouldn’t go anywhere else!

google

Thorough cleaning and explanation of my dental health and care plan by Jamie, the Hygienist and Dr. Sylvester. It’s refreshing to be back with such a professional group of people.

google

Dr. Marengo Jr and his assistance are the GREATEST. The office atmosphere and the music made the visit relaxing and comfortable. I went to him to correct a bridge I had received from another dentist. ( That dentist had me looking like the smiling dog in the Trident commercial) I HATED THOSE BIG TEETH. Dr. Marengo is a MIRACLE WORKER. He created my teeth to look natural , I only have the temporary bridge right now and I love my new teeth. So if I love the temporary I know I will LOVE the permanent ones. THANK YOU DR MARENGO. I'm not embarrassed anymore.

google

Always a friendly staff and clean office! Plus the best dentist in KC! Thanks Tony!!

google

We have only been coming to this practice for about a year, but we are so glad to have found this place. They are so thorough in their care of our dental issues and so accommodating. The office staff are so kind and friendly, and they are always on top of insurance issues. We would recommend them to anyone!!

google

Dr. Marengo is incredible. As soon as you sit in the chair, you know you are in good hands. Very communicative and assuring, as well as humorous. Also, HUGE shout out to the best Dental Hygenist in the game, Christine. She makes going to get your teeth cleaned something that you actually look forward to. She'll let you know if you're not flossing enough, but also always will highlight the positives. These two have taken my fear out of going to the dentist office, and now it's something I actually look forward to. Thank you all very much!!!

google

I had a wonderful experience as always! The staff is very friendly, helpful, and knowledgeable. They always thoroughly answer all of my questions and take amazing care of me!

google

Couldn't be more pleased and comfortable with my overall experience. Friendly, knowledgeable and professional staff all are there to fully support the patient. The Dentist is the best. Can't go wrong going to this practice!

google

Went in for a filling replacement on the underside of my left front tooth that previously had a root canal done by another dentist. My appointment with Dr. Marengo was at 12pm, I was out of the chair at 12:09!! Dr. Marengo is thorough and meticulous!!! I can't even feel the filling, it's flush with the surface of my tooth! Love Him!!

google

Always awesome. Always friendly and great at what they do!

google

Great friendly staff!

google

I have to start with one simple word… Wow! My husband has been a patient of this practice for years and has always told me it was worth getting set up and I’m so kicking myself that I waited so long! This is by far the best dental practice and dental visit I have ever experienced! Christa made me feel so comfortable and Dr.Marengo was perfection! This is coming from a lifelong nervous Nellie when it comes to going to the dentist… Don’t even think twice and make this place your dentist office for life! ✔️🥂

google

As always the entire staff was friendly, knowledgeable, and very efficient. I've required very complex dental treatment the past couple years and Dr. Marengo, Dr. Sylvester, and staff have really delivered!

google

Dr Marengo and staff always make your experience awesome. Everyone goes out of their way to make the most of your visit. Dr Marengo is the best. Been going to him for over 34 years

google

Always the best experience from the moment I walked in the door. The front desk staff always greets me and Kim knows me and my kids! Christa is so fun! I could just stay and talk to her all day!! Dr Marengo has been my dentist for 20 years and he is always kind and respectful! I will not go anywhere else!

google

I'm having cosmetic surgery done on my entire mouth and Doctor Marengo is doing a wonderful job. I can smile again. The entire office is professional, and make you feel very welcome.

google

This is an absolutely wonderful dental practice. No matter what level of care you need they have what you need. From the front desk to the exit door everyone has been incredibly professional, kind, engaging and great at their work. Dr. Marengo, Jackie and Erin have been simply phenomenal to work with and I know I chose the right place to take care of my extensive dental needs. They pay great attention to your comfort, keep you relaxed and are fantastic communicators.

google

I always look forward to seeing all the smiling faces when I walk in for my dentist appointment. The experience is positive from reception to hygienist to both awesome dentists. (Dr Marengo and Dr Sylvestor) They always make me feel comfortable! #Justsmyl

google

I had my first visit this week and was very impressed! It was a very welcoming experience. The doctor, hygienist and office staff were very knowledgeable and so nice. They listened and addressed any questions or concerns I had. I have found my new dental provider and plan to stay with them for a very long time! Thank you for the awesome experience!!

google

Hunter is the most gentle dental hygienist I have ever encountered! In the past I have had dental hygienists that were as rough as a person cleaning hoofs on a horse. Hunter was so sweet, kind and upbeat. I would recommend her to anyone. Dr. Kim was great too! Patient, thoughtful and explains things well.

google

10 out of 10 a friendly, kind, efficient dental practice. Would highly recommend!

google

Wonderful dentist office. The front staff were very friendly and my hygienist was really fantastic. She was thorough and gentle but super quick. I’ll definitely be taking my family there moving forward and would recommend them time and time again.

google

The dentist is my least favorite thing BUT the staff and Dr Marengo make it much easier! They care and they ask how your doing through the procedure! Highly recommend them and have for decades❣️

google

Jamie was great as always!

google

I'm have been petrified of dentistry from horrific childhood experiences but coming to Dr Marengo's office has put all of the fear aside. Dr. Marengo is always so cheerful and positive with my appointment review. I trust his decisions on what needs to be done with my teeth and he is 100% correct in all decisions. I highly recommend him to all who are looking for a new dentist. Dr. Marengo and his staff (Jamie my hygienist is also extremely good) are superb in their personable ways and professionalism.

google

I have avoided this situation for a long time due to ptsd and came to the point that i could not any longer. Dr. Marengo and his team were incredible at managing this. My sedation meds did not work for me this time and he calmly walked me through EVERY step. He was calm and reassuring and took time with me. This is not only an amazing clinic but it is filled with amazing humans who have empathy and compassion. They are what we need more of in the healthcare field today.

google

Dr Marengo is an excellent dentist and I would recommend him to everyone. His office is very organized and the staff is very friendly. Marilyn.

google

I have been a patient for 9 years and have always been happy with the care I receive. They explain everything and tell you about new procedures they are going to try and if you have an issue they go back to the old way. They answer my questions even outside of my appointment.

google

Amazing first visit, very knowledgeable, chair side manner was exceptional. Left with a great referral for specialists and a plan for my smile. Thank you!

google

Still the GREATEST Dentist office EVER!! Everyone there is super nice and so amazing...especially Sara McGill!! Ask for her and tell her I sent you!!

google

had to find a new dentist that took my dental insurance and this office did thank heaven, staff friendly,jamie my hygienetist friendly, very knowledgeable explained what she would be doing.all around the best experience ever kudos to u Jamie,my daughter recommend dr Sylvester, I'm glad she did.will b returning in 6mo.thank u chofer.

google

Everyone has been so friendly . Dr. Marengo & his staff are very professional & knowledgeable. I highly recommend this group !

google

They laughed at my jokes. Which puts them high on my list. Seriously, just the best people that put you at ease from the moment you walk in.